Veneers

Create your beautiful and natural smile
Veneers Hinterland View dental

Changing your smile? Book in for your free consultation!

Changing your smile

Book Your Consultation Online Today!

Ceramic Veneers Hinterland View

Porcelain Veneers

Hinterland View Dental takes great care in producing natural-looking veneers, which are made of strong, thin porcelain, bonded to the front of the teeth.

On your first appointment your teeth are assessed and measured, and your dentist will work with you to design your new smile.

During your next appointment, your teeth will be slightly reduced to allow a comfortable fitting of the Veneers on top. Just enough tooth material is removed to ensure a strong bond between the teeth and the attached Veneer.

Finally, your new Veneers will be fitted and adjusted for comfort.

So, what are you waiting for?

Book an appointment with Hinterland View Dental today and we will assess your teeth and present you with the best options to help resolve crooked, discolored, or chipped teeth.

Composite Veneers

At Hinterland View Dental in Woombye, we provide composite veneers as a conservative option for improving the appearance of teeth. Composite veneers are made directly in the chair using tooth-coloured resin material, shaped and bonded carefully to the front surface of the teeth.

This treatment can help enhance the look of teeth that are chipped, discoloured, slightly misaligned or have small gaps. Composite veneers are cost-effective, minimally invasive, and can often be completed in a single appointment. The smooth finish and natural texture of the material allow for a result that blends comfortably with your existing teeth.

Our experienced dental team can discuss whether composite veneers are suitable for your individual needs during a personalised consultation.

Composite Veneers Hinterland View Dental

Real patients, real results

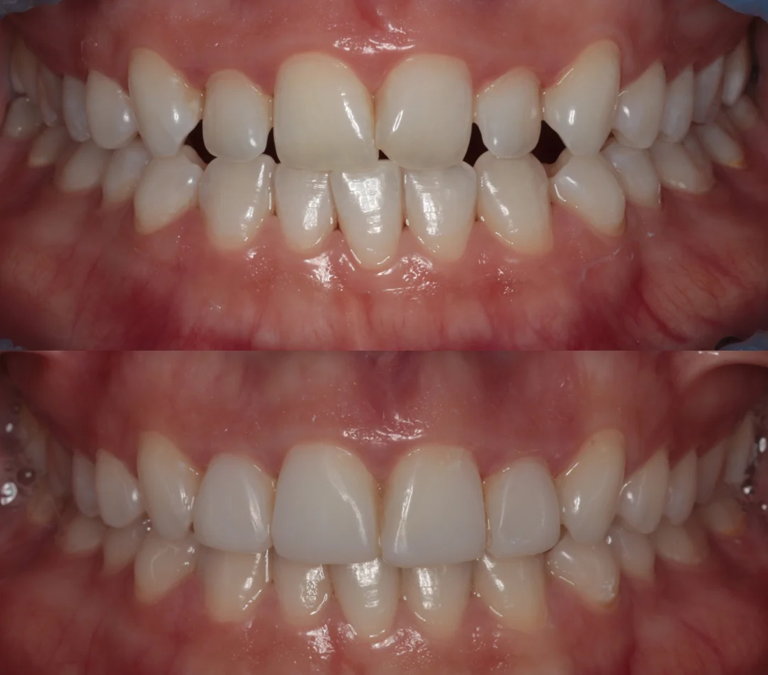
Veneer Before After Case 1
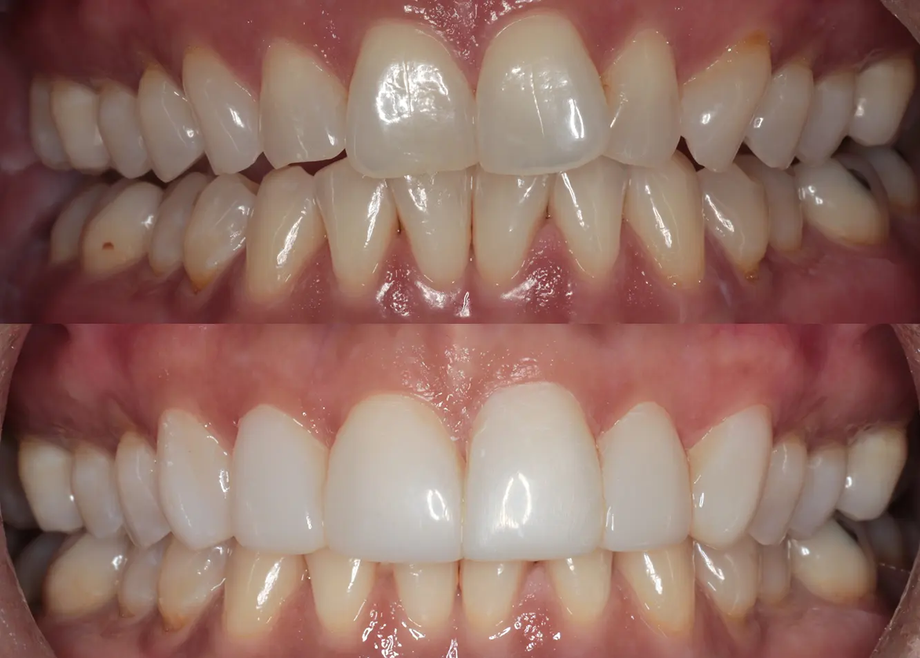
Veneer Before After Case 2
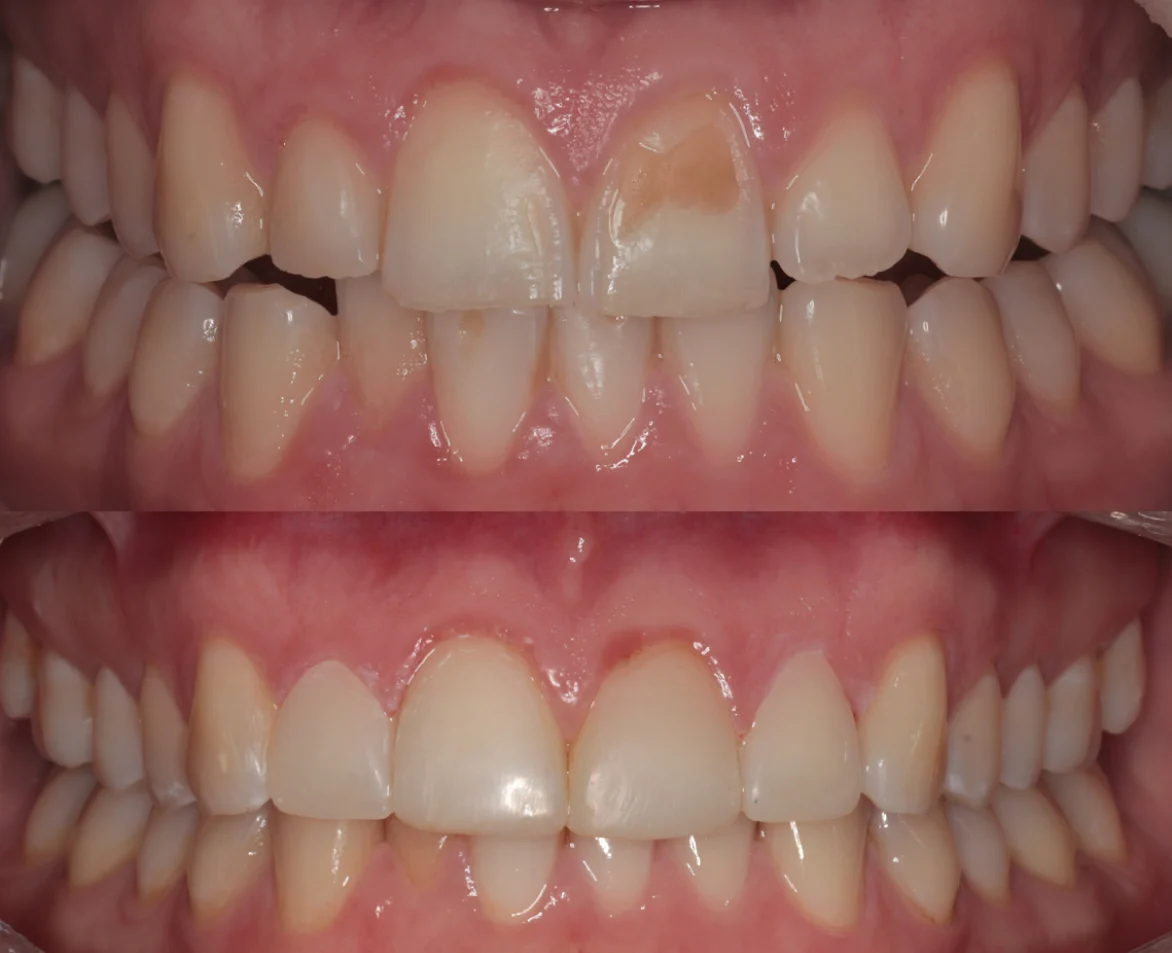
Veneer Before After Case 3
Book an appointment with Hinterland View Dental today and we will assess your teeth and present you with the best options to help resolve crooked, discolored, or chipped teeth.